Gusi bengkak gigi berlubang adalah masalah yang sering dialami banyak orang, terutama ketika gigi kamu tidak mendapatkan perawatan yang tepat. Kalau kamu merasakan nyeri, bengkak, atau gejala lainnya, penting untuk segera mengenali tanda-tanda bahwa kamu perlu ke dokter gigi. Di sini, kita akan membahas 5 tanda bahwa gusi bengkak gigi berlubang memerlukan perhatian medis segera.
Apa Itu Gusi Bengkak Gigi Berlubang?
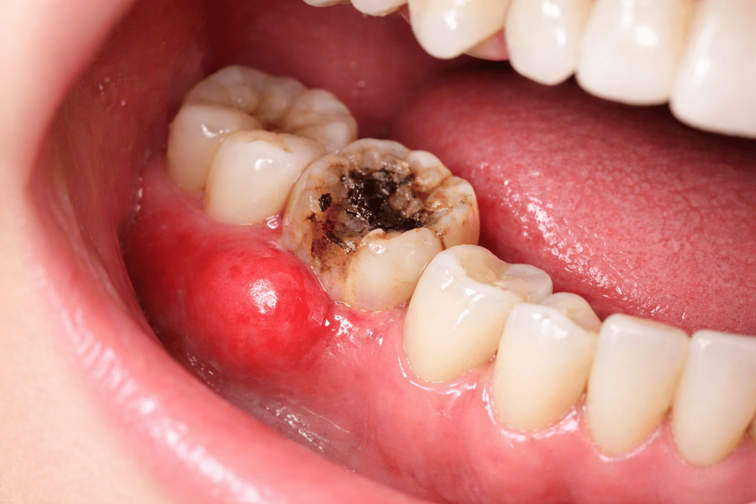
Sebelum kita membahas lebih lanjut, mari kita pahami apa yang dimaksud dengan gusi bengkak gigi berlubang. Gigi berlubang adalah kondisi di mana terjadi kerusakan pada enamel gigi akibat penumpukan plak dan bakteri. Kalau tidak ditangani, kerusakan ini dapat menyebar ke jaringan di sekitar gigi, termasuk gusi, yang menyebabkan pembengkakan dan rasa sakit.
1. Rasa Nyeri yang Tak Kunjung Hilang
Salah satu tanda paling jelas bahwa kamu perlu mengatasi gusi bengkak gigi berlubang adalah rasa nyeri yang terus-menerus. Kalau kamu merasakan nyeri yang tajam atau berdenyut di area gigi yang berlubang dan tidak kunjung reda setelah beberapa hari, ini adalah sinyal bahwa ada masalah serius yang perlu ditangani. Nyeri ini bisa disebabkan oleh infeksi yang menyebar ke jaringan sekitar gigi. Jangan abaikan rasa sakit ini, segera konsultasikan ke dokter gigi untuk mendapatkan penanganan yang tepat.
2. Pembengkakan Gusi
Jika kamu melihat bahwa gusi di sekitar gigi yang berlubang mulai membengkak, ini adalah tanda bahwa infeksi mungkin sudah terjadi. Pembengkakan ini bisa disertai dengan kemerahan dan rasa nyeri saat menyentuh area tersebut. Gusi bengkak gigi berlubang dapat menyebabkan ketidaknyamanan saat makan atau berbicara. Kalau pembengkakan tidak kunjung reda dalam waktu 24 jam, sebaiknya segera periksakan ke dokter gigi.
3. Keluarnya Nanah dari Gusi
Keluarnya nanah dari area gusi yang bengkak adalah tanda bahwa infeksi telah berkembang lebih jauh. Nanah biasanya berwarna kuning atau hijau dan memiliki bau tidak sedap. Kalau kamu mengalami gejala ini, jangan tunda untuk pergi ke dokter gigi. Nanah menunjukkan bahwa ada infeksi serius yang memerlukan perawatan medis segera untuk mencegah penyebaran lebih lanjut.
4. Bau Mulut yang Tidak Sedap
Bau mulut yang tidak sedap bisa menjadi indikasi bahwa ada masalah di dalam mulutmu, termasuk infeksi pada gusi akibat gigi berlubang. Jika kamu sudah menyikat gigi dan menggunakan obat kumur tetapi bau tetap ada, itu bisa jadi tanda bahwa ada sesuatu yang lebih serius. Gusi bengkak gigi berlubang dapat menyebabkan pertumbuhan bakteri berlebih di mulut, sehingga menghasilkan bau tak sedap. Hal ini adalah sinyal untuk segera berkonsultasi dengan dokter untuk mendapatkan diagnosis dan perawatan yang tepat.
5. Gigi Sensitif terhadap Suhu
Kalau kamu merasakan sensitivitas berlebihan pada gigi saat mengonsumsi makanan atau minuman panas atau dingin, ini bisa jadi tanda bahwa ada kerusakan pada enamel atau bahkan infeksi pada saraf di dalam gigi.
Sensitivitas ini seringkali disertai dengan rasa nyeri atau ketidaknyamanan lainnya. Kalau kamu mengalami gejala ini bersamaan dengan tanda-tanda lain seperti pembengkakan atau nanah, segeralah mengunjungi dokter gigi untuk mendapatkan penanganan.
Mengatasi masalah seperti gusi bengkak gigi berlubang sangat penting untuk menjaga kesehatan mulutmu secara keseluruhan. Kalau kamu mengalami salah satu atau lebih dari tanda-tanda di atas, jangan ragu untuk pergi ke dokter gigi. Passion Dental Care adalah klinik gigi terbaik untuk perawatan masalah seperti gusi bengkak dan gigi berlubang. Dengan tim profesional dan teknologi modern, Passion Dental Care siap membantu mengatasi semua masalah gigimu dengan perawatan terbaik.



